

『痛くない・低価格・短時間』に歯の美白ホワイトニングをしてみませんか?
速攻性があると評判の医師博士監修の日本製ホワイトニング溶液を使用いたします。万が一飲み込んでしまっても、安全な成分となっておりますので安心してご利用いただけます。
ちょっと時間が空いたとき、マツエクのついでに……など、気軽にいらしてください。
速攻性があると評判の医師博士監修の日本製ホワイトニング溶液を使用いたします。万が一飲み込んでしまっても、安全な成分となっておりますので安心してご利用いただけます。
ちょっと時間が空いたとき、マツエクのついでに……など、気軽にいらしてください。
「 歯に優しい!」
歯科医師監修のもと独自に開発した「酸化チタン」の専用の溶液を歯に塗りLEDの光をあて、「光触媒」の仕組みを応用して、歯をクリーニングする独自のシステムです。光触媒により「汚れの分解」「抗菌・殺菌」「消臭」に働きかけます。溶液は、万が一飲み込んでしまっても安全な成分を使用しているので安心してご使用いただけます。
「セルフホワイトニングとは 」
従来のオフィスホワイトニングやホームホワイトニングで行う歯を溶かす、施術中の痛み、虫歯やインプラントに効かない、という難点を全てクリアしています。差し歯、インプラント、詰め物などどんな歯でも対応できます。歯に負担がなく、無痛で、どんな歯にも効き目のある、ホワイトニングです!
歯科医師監修のもと独自に開発した「酸化チタン」の専用の溶液を歯に塗りLEDの光をあて、「光触媒」の仕組みを応用して、歯をクリーニングする独自のシステムです。光触媒により「汚れの分解」「抗菌・殺菌」「消臭」に働きかけます。溶液は、万が一飲み込んでしまっても安全な成分を使用しているので安心してご使用いただけます。
「セルフホワイトニングとは 」
従来のオフィスホワイトニングやホームホワイトニングで行う歯を溶かす、施術中の痛み、虫歯やインプラントに効かない、という難点を全てクリアしています。差し歯、インプラント、詰め物などどんな歯でも対応できます。歯に負担がなく、無痛で、どんな歯にも効き目のある、ホワイトニングです!
こんな方におすすめ
・気軽にホワイトニングだけしたい
・歯の色がコンプレックス
・痛いのが苦手
・高額な金額には抵抗がある
・短時間、短期間で白くしたい
・口を開けて笑えない
・気軽にホワイトニングだけしたい
・歯の色がコンプレックス
・痛いのが苦手
・高額な金額には抵抗がある
・短時間、短期間で白くしたい
・口を開けて笑えない
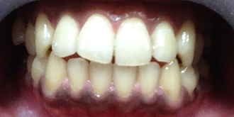
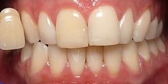
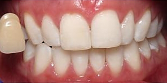
セルフホワイトニング効果例

- before -

- after -

- before -

- after -
※個人差はございますが、1回あたり平均2~4トーンアップが実現します。
セルフホワイトニングの流れ

施術を始める前に、
スタッフがサービス内容をご案内させていただき、
お客様の歯の状態をお伺いいたします。
問題がなければ、同意書にご署名をいただきます。
スタッフがサービス内容をご案内させていただき、
お客様の歯の状態をお伺いいたします。
問題がなければ、同意書にご署名をいただきます。

歯磨き粉をつけ、
いつも通りの歯磨きをしていただきます。
いつも通りの歯磨きをしていただきます。

開口器を装着し歯の表面の水分を取り除きます。

薬剤溶液を歯に散布します。

8分間LEDを歯に照射します。

最後にもう1度歯磨きをして完了です。
料金のご案内
※表示料金は全て税込です。
■Standard(都度払い)
よくある質問
Q.セルフホワイトニングとは?
歯科医や歯科助手の免許がない場合、お客様のお口に手を当てる医療行為はできません。説明やサポートを徹底して、作業は全てお客様にしていただきます。
Q.時間はどのくらいかかりますか?
初回はカウンセリングも含め1時間。2回目以降は30分程(メニューによる)。
Q.痛みはありますか?
使用しているホワイト溶液は食品などにも使われている、酸化チタンと呼ばれるものを主成分に作られているため、痛みを伴わず、安心してご使用いただけます。
Q.妊娠中でもサービスは受けられますか?
お身体に害のあるものは使用していませんが、妊娠期間中はご体調も敏感になっている可能性が高いことから、ご利用をお断りさせていただく場合がございます。
Q.歯の本数などの制限はありますか?
マウスオープナーを装着いただき、LEDライトの光が当たる範囲でホワイトニングが可能ですので、本数による制限はございません。
Q.どのくらい白くなりますか?
個人差はありますが、データ上はほとんどの方が、2~3トーンUPしています。特にタバコを吸う方は色素沈着が多いので、最大7~8トーンUPの方もいらっしゃいます。色味だけではなく、エナメル質がツヤツヤになり、歯垢が除去されツルツル感がしばらく持続します。
Q.一度行けば白い歯のままでいられますか?
日常生活を送りいただく中で、食事や喫煙などによって汚れは再び付いていきます。明るい状態を維持するためにも、月1~2回のケアを推奨しております。
Q.続け方は?
理想は初めの1ヶ月は毎週。翌日からは月1~2回のメンテナンスをおすすめしています。しかし、続け方もセルフですので、お好みで毎日でも、毎月でも気になった時のご来店がおすすめです。
Q.歯医者で治療中でもできますか?
先生に確認をしていただくことが最善ですが、治療中や虫歯がある方・差し歯・インプラント・詰め物等が御座いましても問題はございません。歯のベニヤに関しては、元々非常に割れやすい物でございます。光による損失は考え辛いですが、万が一のことを考え先生に先に確認していただく事をおすすめ致します。
Q.施術後の白いムラは?
光触媒で一気に汚れを浮かせますので、エナメルが変色を起こしムラが出ることはありますが、数時間から1~2日で口内のPHバランスが整うとムラは消えます。逆にしっかり反応が起きている証しです。ホワイトニングスポットやホワイトバンドやバンディングと呼びます。
当店は完全予約制となっております。必ずご予約の上、ご来店ください。
017-742-5722
営業時間/OPEN 9:00~ 定休日/不定休
※当日予約などお急ぎの際はお電話ください。
※施術中等でお電話に出られない場合もございます。
017-742-5722
営業時間/OPEN 9:00~ 定休日/不定休
※当日予約などお急ぎの際はお電話ください。
※施術中等でお電話に出られない場合もございます。
※ご予約はLINEを優先させていただきます。
LINEでのご予約は24時間受付しております。
(但し19:00以降のご予約は、翌日8:30以降、ご連絡をいただいた順にご返信いたします)
